Кейсы врача Эльнур Абдинов
Аватар Эльнур Абдинов

Эльнур Абдинов

Имплантация

Павлодар

HOME CLINIC

Количество кейсов: 2

ID: 2 🗓 14.08.2025 🕒 10:25
ID: 2 🗓 14.08.2025 🕒 10:25

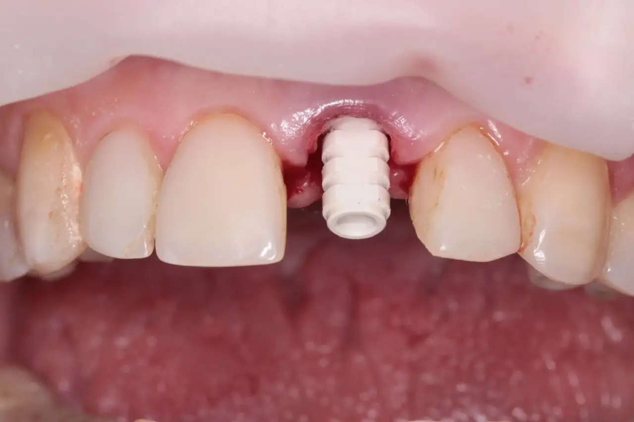
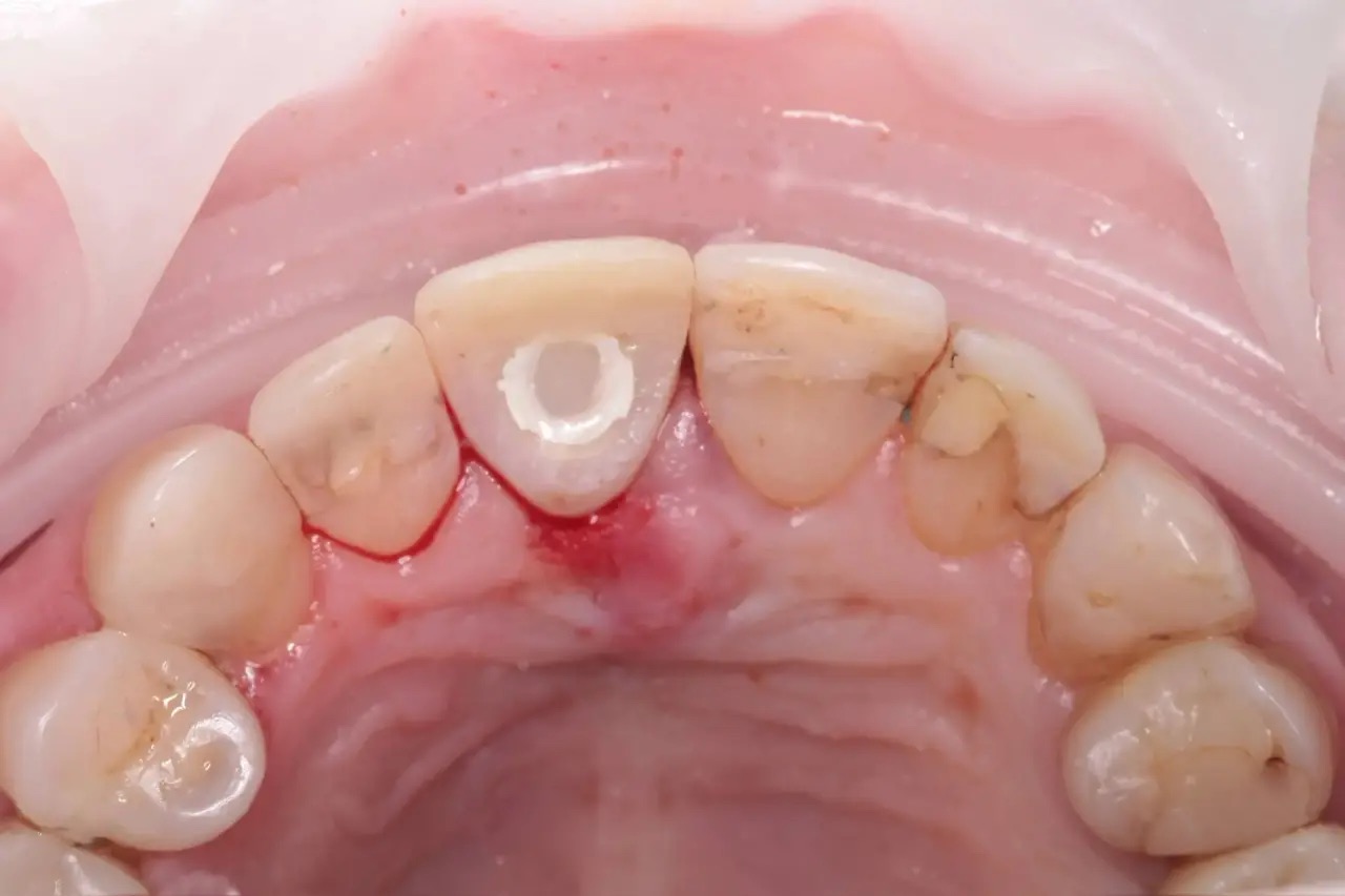
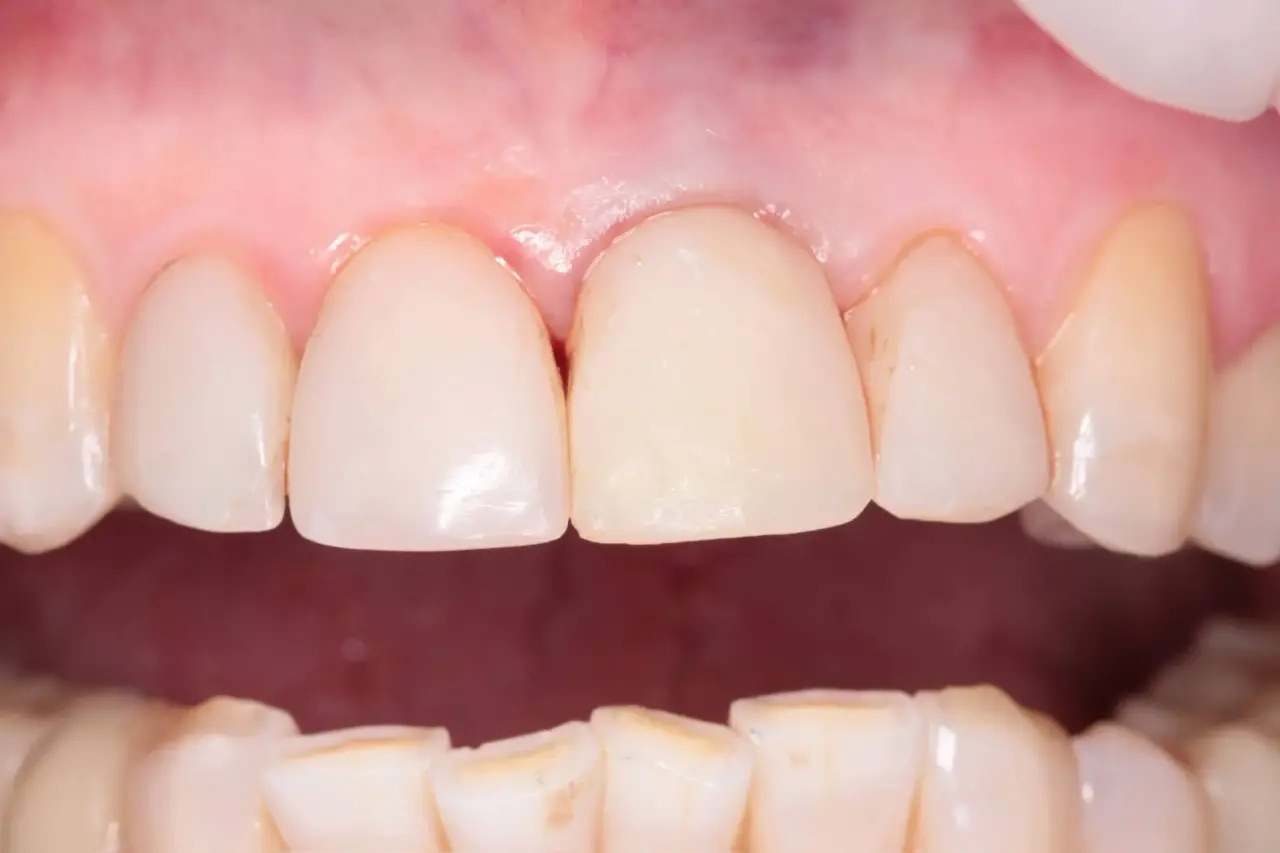
Категория: Имплантация

🦷 Имплантаты: Straumann

Название кейса:
пп

Описание кейса:
первый прием

Фото кейса 2

1

ID: 1 🗓 05.08.2025 🕒 16:47
ID: 1 🗓 05.08.2025 🕒 16:47

Категория: Имплантация

🦷 Имплантаты: Удаление зуба МУдрсоти

Название кейса:
22

Описание кейса:
Удалаяем зуб мудрости